北京大学,Nature Chemistry!
小奇
2024-11-12

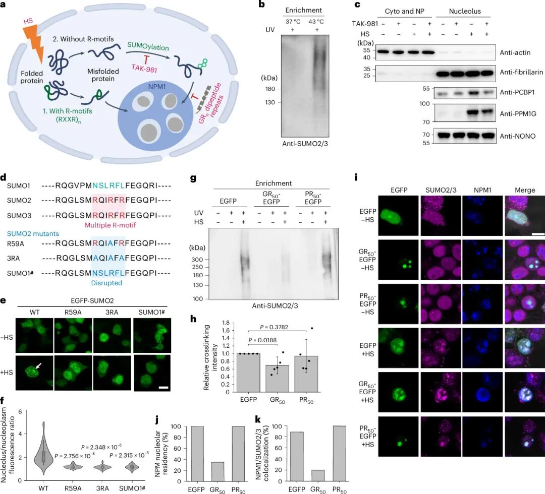
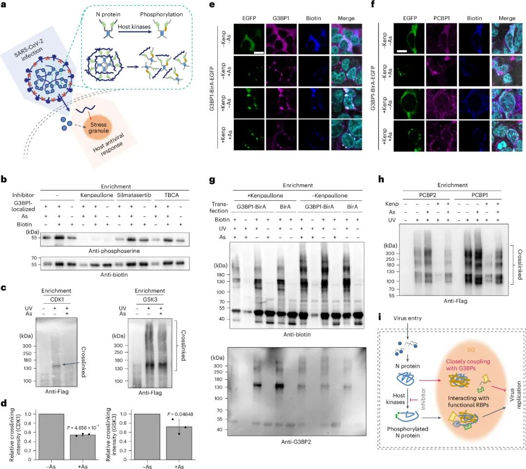
生物分子凝聚现象在细胞过程中的作用越来越受到重视,这些过程从信号传导到应激反应和基因调控等众多方面都有所涉及。蛋白质-蛋白质相互作用(PPI)是凝聚核形成、生物分子隔离和生化活动组织的基础。要阐明生物分子凝聚的功能,不仅需要在亚室水平上了解蛋白质组的空间和时间信息,还需要了解这些在空间上共存的蛋白质之间的相互作用。特别是因为许多蛋白质同时存在于多个亚细胞区域,揭示感兴趣的凝聚中特定室的蛋白质相互作用组是非常理想的。邻近标记方法使用连接的酶(例如,APEX、BioID、TurboID)或活性分子来分析邻近的生物分子,使得可以对无膜凝聚体如应激颗粒(SG)和P体进行组成分析。然而,由于产生的活性中间体的扩散性质,这些策略不适合直接研究PPI,因为在凝聚环境中不可避免地会包括许多旁观者蛋白。由于具有高时间分辨率和短交联半径,设计了预装在感兴趣蛋白(POI)上的光交联探针,以捕获活细胞中直接和瞬时的PPI。位点特异性光交联剂(例如,DiZPK、Kcr*、o-NBAK、VL1)提供了PPI界面的详细信息,但在从单个选定位点全面分析凝聚体中的多价相互作用方面存在困难。代谢性整合的光交联剂(例如,光亮氨酸、光蛋氨酸)能够实现特定氨基酸残基的蛋白质组规模替换和PPI网络的全局固定。尽管这些光交联剂的短交联半径(即0-2纳米)和多位点整合适合捕获直接和多价PPI,但蛋氨酸和亮氨酸在PPI界面的相对低分布限制了这些探针在凝聚体中的实用性。于此,北京大学陈鹏等研究人员报告了一种凝聚增强的、空间导向的、代谢整合辅助的光交联策略——称之为DenseMAP——用于在活细胞中的凝聚体中高效和忠实地进行直接和天然蛋白质相互作用组的空间和时间映射。图|DenseMAP 策略示意图。δ-光赖氨酸(表示为红色星号)允许在活细胞中对具有固定标记半径 (R) 的卡宾活性物质进行全蛋白质组掺入和光控生成。由于生物分子凝聚物内部高度拥挤,残基接近度增强,相互作用价数(界面/位点)增加,基于 δ-光赖氨酸的光交联非常适合捕获和全局分析这些瞬时区室中的直接 PPI。由于许多蛋白质具有多个亚细胞位置,DenseMAP 可以通过将凝聚增强的光交联与细胞内区室特异性生物素标记相结合来捕获凝聚物特异性蛋白质相互作用组。此外,当应用于核仁中的亚区室特异性支架蛋白(如 NPM1)时,DenseMAP 可以揭示直接相互作用组,从而揭示整个蛋白质组及其感兴趣的亚区室的动态变化。捕获的相互作用组可以通过链霉亲和素 (SA) 或抗体 (Ab) 进行富集,并通过质谱 (MS) 进行鉴定。DenseMAP依赖于优化的光赖氨酸探针,显示出对各种支架或客户蛋白的广泛适用性。通过进一步与生物素连接酶(BirA)导向的蛋白质标记和定量蛋白质组学相结合,研究人员获得了特定室的蛋白质相互作用组,揭示了SARS-CoV-2的核蛋白(N)的SG特异性相互作用组,并揭示了病毒-宿主竞争期间磷酸化的功能性作用。图|DenseMAP 揭示了 SARS-CoV-2 N 蛋白与 SG 特异性相互作用的磷调控此外,DenseMAP使得YTHDF1和YTHDF2这两个RNA-m6A阅读器的SG特异性相互作用组的比较分析成为可能。最后,通过捕获亚室支架蛋白NPM1的直接相互作用组,DenseMAP揭示了核仁中颗粒组分(GC)的特定蛋白质组,从而阐明了SUMOylation(SUMO,小泛素样修饰物)在蛋白质质量控制中的关键作用。总体而言,DenseMAP有助于深入理解亚细胞和亚室凝聚体中蛋白质相互作用组的功能和调控。图|SUMO 化对核仁质量控制和 C9orf72 多聚 GR 重复序列诱导的损伤的影响总之,该研究开发了一种名为DenseMAP的策略,它基于优化的光交联剂,用于生物分子凝聚体中蛋白质-蛋白质相互作用(PPI)的空间和时间映射。该δ-光赖氨酸与先前报道的γ-光赖氨酸相比,二氮杂环部分更接近侧链的末端,可能带来更高的交联效率。短交联半径约为1 nm,多位点整合和拥挤环境共同产生了DenseMAP的凝聚增强特性,使其适合在凝聚体背景下直接捕获相互作用组。DenseMAP对蛋白质的天然状态(如翻译后修饰)的干扰最小,可以通过分钟级的光交联研究无膜细胞器的动态变化。DenseMAP提供了一个在凝聚体中进行PPI网络分析的平台,具有广泛的适用性和与化学蛋白质组学的兼容性。通过弥合蛋白质相互作用与亚细胞位置或翻译后修饰之间的差距,DenseMAP揭示了凝聚体中独特的调控机制,这可能为在生理和病理条件下操纵无膜细胞器的组装或物质交换提供了一条途径。结合不同的蛋白质标记和富集手段,DenseMAP可以扩展到探索PPIs与凝聚体中其他功能蛋白方面的相互作用,如RNA结合。随着质谱技术的进步,DenseMAP有潜力剖析凝聚体中的多对多PPI网络。尽管如此,δ-光赖氨酸与天然赖氨酸之间的轻微结构差异,以及δ-光赖氨酸的有限整合效率,在某些情况下可能会带来限制。此外,由于它依赖于局部BirA对感兴趣蛋白质组的可及性,因此需要先前的知识,即已知在目标凝聚体或亚室中与蛋白质组全局相互作用的“核心”或“支架”蛋白。我们期望我们的DenseMAP策略的设计将激发该领域技术进步的进一步探索。Li, K., Xie, X., Gao, R. et al. Spatiotemporal protein interactome profiling through condensation-enhanced photocrosslinking. Nat. Chem. (2024).https://doi.org/10.1038/s41557-024-01663-1